Analakarzinom (SCAC)
URSACHEN, SYMPTOME UND ZIELGERICHTETE THERAPIEANSÄTZE

WAS IST EIN ANALKARZINOM?
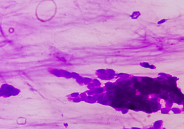
Ein Analkarzinom ist ein bösartiger Tumor im Bereich des Analkanals oder des Analrands. Die häufigste Form ist das Plattenepithel-Analkarzinom (SCAC, Squamous Cell Anal Carcinoma), das sich aus den Plattenepithelzellen des Analkanals entwickelt.
HÄUFIGSTER AUSLÖSER: HPV
In den meisten Fällen ist ein Analkarzinom mit einer Infektion durch das humane Papillomavirus (HPV) verbunden, das hauptsächlich sexuell übertragen wird und bösartige Zellveränderungen hervorrufen kann. Besonders gefährdet sind Menschen mit geschwächtem Immunsystem – etwa durch HIV, immunsuppressive Medikamente oder nach Organtransplantationen. Auch ungeschützter Analverkehr oder Rauchen erhöhen das Risiko.
HPV spielt nicht nur bei der Entstehung des Analkarzinoms eine zentrale Rolle, sondern auch bei anderen Krebsarten wie Gebärmutterhalskrebs, Peniskarzinom und bestimmten Mund-Rachen-Karzinomen.
WIE HÄUFIG IST DAS ANALKARZINOM?
Das Analkarzinom ist mit einer INZIDENZ VON 1–2 PRO 100.000 ein relativ seltener Tumor. Die jährliche Inzidenz dieser Krankheit nimmt weltweit um etwa 3 % zu, was hauptsächlich mit der Verbreitung des humanen Papillomavirus (HPV) zusammenhängt.
WELCHE SYMPTOME TRETEN BEIM ANALKARZINOM AUF?
Die folgenden Beschwerden können Anzeichen für ein Analkarzinom sein:
WIE WIRD DAS ANALKARZINOM DIAGNOSTIZIERT?
Das ärztliche Gespräch (Anamnese) umfasst Fragen zu Beschwerden, Vorerkrankungen, Risikofaktoren (z. B. HIV, HPV), Medikamenteneinnahme, Sexualpraktiken und Rauchen. Bei Verdacht auf Analkrebs wird eine gründliche körperliche Untersuchung durchgeführt, insbesondere der Anal- und Leistenregion.
Weitere potenzielle Untersuchungen:
- Tastuntersuchung (digital-rektal): Abtasten des Analkanals mit dem Finger, meist schmerzfrei.
- Analspiegelung (Proktoskopie): Untersuchung mit einem starren Rohr, meist nicht schmerzhaft, keine Darmreinigung nötig.
- Darmspiegelung (Rektoskopie/Koloskopie): Untersuchung des Mast- oder gesamten Dickdarms mittels Endoskop, erfordert vorherige Reinigung.
- Ultraschall (anale Endosonographie): Untersuchung des Afters mit Ultraschallsonde zur Beurteilung des Tumors und umliegender Strukturen, nicht immer notwendig.
THERAPIE DES ANALKARZINOMS
Die gängige Behandlung für Analkrebs ist heute eine Kombination aus Strahlen- und Chemotherapie. In frühen Stadien oder bei fortgeschrittenen Fällen, die mit Inkontinenz oder Fisteln verbunden sind, kann auch eine Operation in Betracht gezogen werden.
Die Radiochemotherapie dauert normalerweise fünf bis sieben Wochen und zielt darauf ab, den Tumor und die benachbarten Lymphknoten zu behandeln. Die Strahlenbehandlung sollte in spezialisierten Kliniken erfolgen, wobei moderne Techniken wie die intensitätsmodulierte Strahlentherapie (IMRT) verwendet werden, um gesunde Organe zu schonen und genauere Ergebnisse zu erzielen. Diese Technik reduziert Nebenwirkungen und verbessert die Lebensqualität der Patienten.
Mögliche Nebenwirkungen sind Magen-Darm-Beschwerden wie Durchfall, Übelkeit und Erbrechen, Beschwerden beim Wasserlassen, Hautprobleme und Blutarmut. Die Wirkung der Behandlung zeigt sich meistens erst zwei bis drei Monate nach Abschluss der Therapie.
THERAPIE BEI METASTASEN DES ANALKARZINOMS
Beim metastasierten Analkarzinom wird in der Regel eine Chemotherapie (z.B. Carboplatin und Paclitaxel) eingesetzt. In einigen Fällen, wenn nur einzelne Metastasen vorhanden sind, kann eine Operation oder Bestrahlung zur Behandlung der Metastasen in Betracht gezogen werden.