Follikuläres Lymphom (FL)
URSACHEN, SYMPTOME UND ZIELGERICHTETE THERAPIEANSÄTZE

WAS IST DAS FOLLIKULÄRE LYMPHOM (FL)?
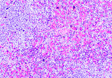
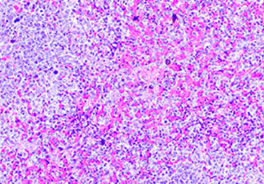
Das follikuläre Lymphom (FL) ist eine Krankheit, bei der sich bestimmte weiße Blutzellen, die B-Lymphozyten, unkontrolliert vermehren. Diese Zellen sammeln sich hauptsächlich in den Lymphknoten, manchmal auch im Knochenmark, selten im Blut, in der Milz oder den Schleimhäuten. Da das FL sich meist langsam entwickelt, wird es oft erst nach Jahren zufällig entdeckt. Es gehört zu den indolenten, also langsam wachsenden, Lymphomen. Die genauen Gründe zu erkranken sind unbekannt.
Das follikuläre Lymphom entsteht durch eine zufällige genetische Mutation in einem B-Lymphozyten, die dazu führt, dass sich die Zelle unkontrolliert teilt und defekte Tochterzellen bildet, die für die Immunabwehr untauglich sind.
WIE HÄUFIG IST DAS FL?
In Deutschland erkranken jährlich etwa 3.000 Menschen neu an einem follikulären Lymphom. Die Erkrankung tritt durchschnittlich im Alter von über 60 Jahren auf und Frauen sind geringfügig häufiger betroffen als Männer.
WELCHE SYMPTOME TRETEN BEIM FL AUF?
Follikuläre Lymphome werden oft zufällig entdeckt, bevor Symptome auftreten.
WIE WIRD DAS FL DIAGNOSTIZIERT?
Neben der Symptomatik, einer körperlichen Untersuchung und dem Blutbild ist für die sichere Diagnose eine Gewebebiopsie notwendig. Dafür wird meist ein Lymphknoten entnommen.
Bildgebende Verfahren wie die Computertomographie (CT), oft kombiniert mit einer Positronenemissionstomographie (PET), helfen, die Ausbreitung des Lymphoms im Körper zu beurteilen.
THERAPIE DES FL
Die Therapie des FL hängt vom Krankheitsstadium und dem Allgemeinzustand des Patienten ab.
Frühe Krankheitsstadien können mit Bestrahlung behandelt werden, manchmal zusammen mit einer Immuntherapie. Wenn keine Symptome auftreten ist oft eine alleinige Beobachtung ausreichend.
Fortgeschrittene Krankheitsstadien werden erst beim Auftreten von Beschwerden, wie B-Symptome, Blutarmut oder einer rasch zunehmenden Vergrößerung von Lymphknoten, behandelt. Oft erfolgt dies mit einer Kombination aus Immuntherapie und Chemotherapie. Hieran schließt sich eine Erhaltungstherapie an, um die Krankheit unter Kontrolle zu halten.
THERAPIE BEI EINEM RÜCKFALL DES FL
Bei einem Rückfall der Erkrankung wird die Diagnose erneut überprüft, um die Therapie entsprechend anzupassen. Dabei können eine angepasste Chemoimmuntherapie oder eine chemofreie Immuntherapie eingesetzt werden. Weitere Optionen sind zielgerichtete Immuntherapien, eine Stammzelltransplantation oder eine CAR-T-Zelltherapie.