Cholangiokarzinom (CCA)
URSACHEN, SYMPTOME UND ZIELGERICHTETE THERAPIEANSÄTZE

WAS IST EIN CHOLANGIOKARZINOM (CCA)?
Der Gallengangskrebs, auch Cholangiokarzinom genannt, ist eine Krebserkrankung der Wege oder Kanäle, die Galle in den Darm leiten. Diese wird in der Leber produziert und in der Gallenblase gespeichert. Zusammen mit dem Gallenblasenkarzinom gehört der Gallengangskrebs zu den sogenannten biliären Tumoren.
Der Gallengangskrebs wird je nach Lage des Tumors noch weiter unterteilt. Es gibt die intrahepatischen, innerhalb der Leber gelegenen, und die extrahepatischen, außerhalb der Leber gelegenen, Gallengangtumore. Letztere werden weiter unterschieden in die häufigeren perihilären und die selteneren distalen Tumore.
EIN PAAR ZAHLEN…
Gallengangskrebs ist vergleichsweise selten und betrifft vor allem ältere Menschen. In Deutschland erkranken daran weniger als 6.000 Menschen pro Jahr. Die meisten sind älter als 65 Jahre. Es handelt sich um einen aggressiven Krebs. Das heißt, dass fünf Jahre nach der Diagnose nur noch rund 20 Prozent der Patient*innen leben.
Wie es zu einem Krebs der Gallengänge kommt, lässt sich im Nachhinein nicht immer feststellen. Ein Risiko stellen Einflüsse dar, die Leber oder Galle belasten, wie:
- Infektionen mit Hepatitisviren oder HIV,
- Giftstoffe, wie etwa Alkohol, Nikotin oder Dioxine,
- chronische Entzündungen, wie Leberzirrhose oder Fettleber, oder
- Erkrankungen der Galle, wie Entzündungen, Polypen oder Gallenstein.
Darüber hinaus stellen höheres Alter, Übergewicht und Diabetes Risikofaktoren für die Entwicklung eines Cholangiokarzinoms dar.
WIE SIEHT DIE SYMPTOMATIK BEI EINEM CHOLANGIOKARZINOM AUS?
Das Tückische ist, dass Gallengangskarzinome in frühen Stadien meist keine Beschwerden verursachen.
Die Symptome sind oft unspezifisch und treten meist erst auf, wenn der Tumor die Funktion von Leber oder Verdauung beeinträchtigt. Es kommt dann beispielsweise zu:
WIE ERFOLGT DIE DIAGNOSE?
Besteht Verdacht auf eine Krebserkrankung, so wird mittels bildgebender Diagnostik wie Ultraschall, Computertomographie (CT) oder Magnetresonanztomographie (MRT) nach dem möglichen Tumor gesucht.
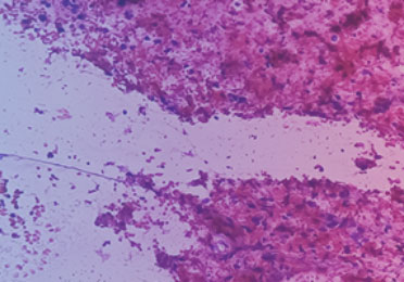
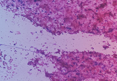
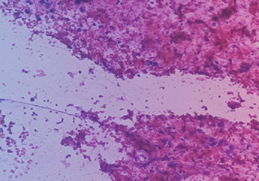
Um eine bösartige Erkrankung zu bestätigen, ist die Untersuchung einer Tumorgewebeprobe entscheidend.
Die Wahl der Therapie hängt von den Eigenschaften des Tumors ab, also Größe, Lage, Ausbreitung, Streuung und Aggressivität. In den letzten Jahren sind auch molekulare Marker beziehungsweise Veränderungen immer mehr in den Fokus gerückt, für welche es zielgerichtete Therapieansätze gibt. Auch Alter und Fitness der Patient*innen sowie mögliche Vorerkrankungen beeinflussen die Behandlungsoptionen.
WELCHE THERAPIEOPTIONEN GIBT ES?
Eine Heilung ist nur bei vollständiger operativer Entfernung des Tumors möglich. Dafür muss der Tumor lokal begrenzt und nicht metastasiert sein.
WIE SIND DIE CHANCEN AUF HEILUNG?
Leider sind bereits bei Diagnose zwei Drittel der Tumore nicht mehr operabel und daher ist eine kurative Behandlung nicht mehr möglich. Wenn operiert wird, besteht außerdem das Risiko, dass der Tumor nicht vollständig entfernt werden kann und wiederkehrt. Das Risiko für ein solches Rezidiv beträgt 50 bis 80 Prozent. Um das Rückfallrisiko nach der Operation zu mindern, wird oft adjuvant eine Chemotherapie durchgeführt.
Wenn eine Operation nicht möglich ist, ist das Ziel der weiteren Behandlung, das weitere Wachstum des Tumors zu verlangsamen. Außerdem soll so lange wie möglich eine gute Lebensqualität erhalten bleiben, zum Beispiel sollen auch krebsbedingte Beschwerden, wie etwa ein Gallenstau, gelindert werden.
In diesem Stadium kommen mehrere Behandlungsoptionen in Betracht:
- Bei fortgeschrittenem Gallengangskrebs ist die Chemotherapie in Kombination mit Immuntherapie die erste Wahl.
- Sollte die Chemotherapie versagen, dann können auch zielgerichtete Therapien eingesetzt werden. Diese nutzen bestimmte molekulare Eigenschaften des Tumors aus, um sein Wachstum zu stoppen. So können sie beispielsweise gezielt zelluläre Signale blockieren, die das Tumorwachstum anregen. Wichtig dafür ist, dass das Krebsgewebe vorab auf molekulare Eigenschaften hin untersucht wird.
ZU EMPFEHLEN: BEHANDLUNG AN ZERTIFIZIERTEN KREBSZENTREN
In diesen wird jeder Fall in einer Tumorkonferenz von erfahrenen Ärzt*innen verschiedener Fachdisziplinen besprochen. Auch die Teilnahme an Studien zu neuen Therapieoptionen kann geprüft werden. Hier finden Sie zertifizierte Krebszentren der Deutschen Krebsgesellschaft.