Diffuses grosszelliges B-Zell-Lymphom (DLBCL)
URSACHEN, SYMPTOME UND ZIELGERICHTETE THERAPIEANSÄTZE

WAS IST DAS DIFFUSE GROSSZELLIGE B-ZELL-LYMPHOM (DLBCL)?
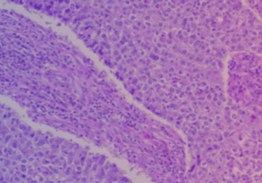
Das DLBCL gehört zu den Blutkrebserkrankungen. Bei ihm vermehren sich reife B-Zellen oder B-Lymphozyten unkontrolliert. Im gesunden Zustand sind diese weißen Blutkörperchen an der Immunabwehr beteiligt. Sie sitzen in den lymphatischen Organen, also Lymphknoten, Milz oder Knochenmark, oder zirkulieren in Blut und Lymphe, um dort Krankheitserreger aufzuspüren. Das erste Anzeichen für eine krebsbedingte Vermehrung ist daher oft, dass ein einzelner Lymphknoten anschwillt. Außerdem verändert sich das Blutbild: Die Zahl an B-Lymphozyten steigt an, während andere Blutzellen, wie rote Blutkörperchen oder Blutplättchen, zunehmend verdrängt werden. Das hat dann spürbare Beschwerden zur Folge.
HÄUFIGE SYMPTOME DES DLBCL SIND:
Das DLBCL gilt als aggressiv, weil es rasch voranschreitet und schon früh in andere Körperregionen ausstreut. Die gute Nachricht aber ist: Es können viele Patient*innen geheilt werden.
EIN PAAR ZAHLEN…
Über 9.000 Menschen erkranken jedes Jahr in Deutschland am DLBCL. Im Mittel sind sie 65 Jahre alt, aber es können auch viel jüngere und ältere Menschen erkranken. Rund 80 Prozent aller DLBCL-Patient*innen werden mittlerweile geheilt.
WIE WIRD DAS DLBCL DIAGNOSTIZIERT?
Neben der Symptomatik, einer körperlichen Untersuchung und dem Blutbild ist für die sichere Diagnose eine Gewebsbiopsie notwendig. Dafür wird meist ein Lymphknoten entnommen.
Bildgebende Verfahren wie die Computertomographie (CT), oft kombiniert mit einer Positronenemissionstomographie (PET), machen sichtbar, wie weit das DLBCL bereits andere Organe befallen hat.
THERAPIE DES DLBCL: WAS PASSIERT, WENN DIE ERSTBEHANDLUNG NICHT GUT WIRKT ODER DAS DLBCL DANACH WIEDERKEHRT?
Die Erstbehandlung ist in der Regel eine Chemoimmuntherapie, bei der mehrere Chemotherapeutika mit einem Immunwirkstoff kombiniert werden. Diese Therapie heilt sehr viele Patient*innen. Es kann aber leider auch passieren, dass die Therapie nicht gut wirkt – das DLBCL also refraktär ist – oder es zu einem Rückfall (Rezidiv) kommt.
WIE VIELE PATIENT*INNEN BRAUCHEN EINE FOLGEBEHANDLUNG?
Etwa 60 bis 70 Prozent der DLBCL-Patient*innen werden durch die Ersttherapie geheilt. Das heißt aber auch, dass 30 bis 40 Prozent eine weitere Behandlung benötigen.
Zur Behandlung des rezidivierten oder refraktären DLBCL gibt es grundsätzlich zwei Wege, die eingeschlagen werden können:
- Mit einer Stammzelltransplantation oder einer CAR-T-Zelltherapie ist immer noch für viele Patient*innen eine vollständige Heilung möglich.
- Eine erneute Chemoimmuntherapie oder eine chemofreie Immuntherapie hat das Ziel, den Krebs über möglichst lange Zeit am Wachstum zu hindern und dabei eine gute Lebensqualität zu erhalten.
Die eingesetzten Immuntherapeutika enthalten ebenso wie die CAR-T-Zellen Antikörper, die an bestimmte Oberflächenproteine der B-Lymphozyten namens CD19, CD20 oder CD79b binden. Sie greifen damit gezielt Krebszellen an und schonen gesunde Zellen.
WIE WIRD ENTSCHIEDEN, WELCHE THERAPIE DIE RICHTIGE FÜR MICH IST?
WORAUF MUSS ICH MICH BEI DER BEHANDLUNG EINSTELLEN?
WAS KANN ICH SELBST ZUR UNTERSTÜTZUNG DER THERAPIE TUN?
WAS PASSIERT, WENN DER KREBS AUCH NACH DER FOLGEBEHANDLUNG WIEDERKEHRT?
WO FINDE ICH WEITERE INFORMATION UND UNTERSTÜTZUNG?
Für Menschen mit Krebs gibt es zahlreiche Möglichkeiten zur Beratung, Information und Unterstützung.
Für Menschen mit Lymphom oder DLBCL gibt es weitere Informations- und Hilfsangebote: